Movat’s Pentachrome Stain Kit

Movats Pentachrome stain on lung with inflammation at the level of trachea

Movat’s Pentachrome Stain Kit

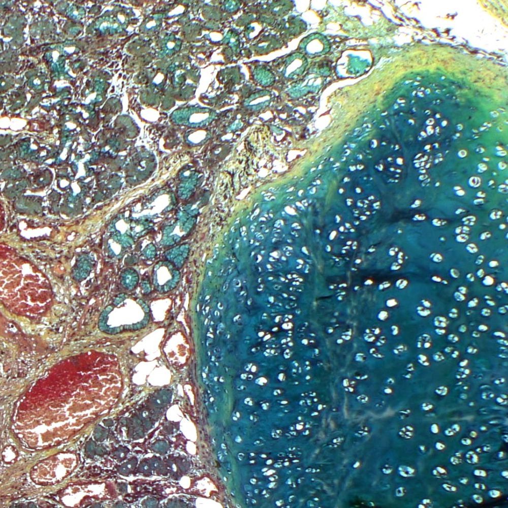
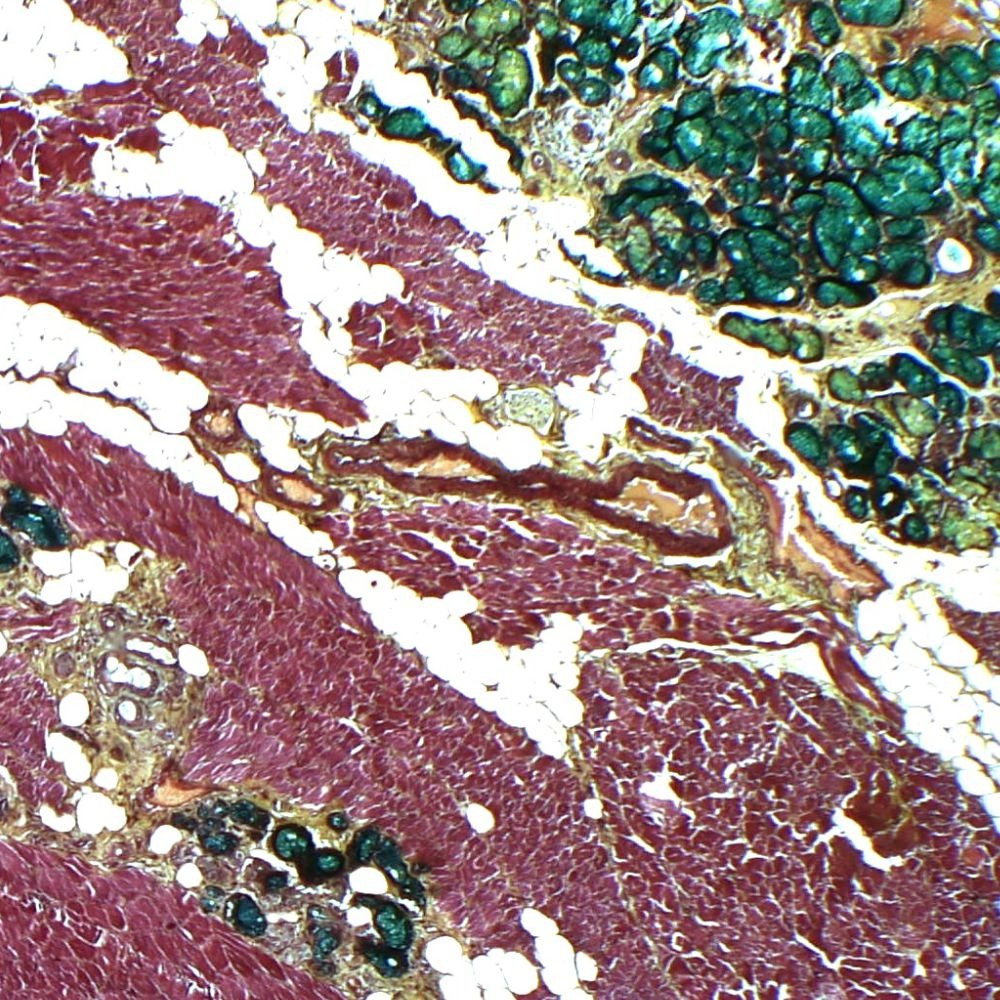
Movat’s Pentachrome Stain Kit is intended for use in simultaneous histological visualization of five major tissue components in contrasting colours. The term ‘Pentachrome stain’ is a general name for the application of five dyes, which facilitates the selective demonstration of muscle, cell nuclei, mucins and ground substance, elastin fibers, collagen fibers, and Fibrin. This product is not intended for diagnostic or therapeutic use the results are to be interpreted by qualified personnel in conjunction with other clinical and laboratory findings.

Total cart qty *
  • Description
  • Ordering Information

Movat’s Pentachrome Stain Kit is intended for use in simultaneous histological visualization of five major tissue components in contrasting colours. The term ‘Pentachrome stain’ is a general name for the application of five dyes, which facilitates the selective demonstration of muscle, cell nuclei, mucins and ground substance, elastin fibers, collagen fibers, and Fibrin. This product is not intended for diagnostic or therapeutic use the results are to be interpreted by qualified personnel in conjunction with other clinical and laboratory findings.

  • Catalog
    Pack Size
  • SSP025-25 Reactions
    25 Reactions
  • SSP025-50 Reactions
    50 Reactions

Related Products