TCL1 - EP105

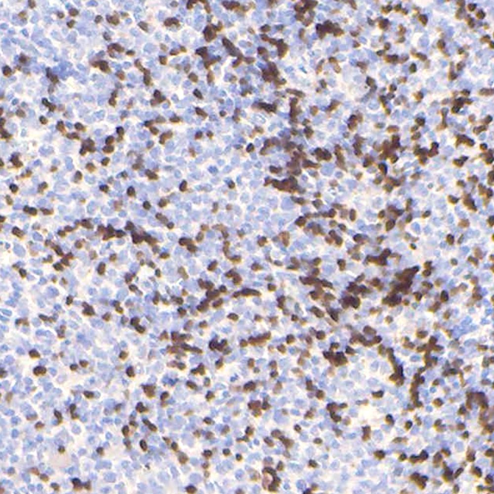
Tonsil stained with Anti-TCL1

TCL1 - EP105

T-cell leukemia/lymphoma protein 1A (TCL1) is a member of the TCL1 family and enhances the phosphorylation and activation of AKT1, AKT2 and AKT3. TCL1 promotes the nuclear translocation of AKT1 and enhances cell proliferation, stabilizes mitochondrial membrane potential and promotes cell survival. The expression of TCL1 is restricted to lymphoid cells. It is expressed early in lymphocyte differentiation. Strong expression of TCL1 is found in a subset of mantle zone B lymphocytes and is expressed to a lesser extent by follicle center cells. In B- cell neoplasia, TCL1 immunoreactivity is found in the majority of B-cell lymphomas including lymphoblastic lymphoma, chronic lymphocytic leukemia, mantle cell lymphoma, follicular lymphoma, Burkitt lymphoma, diffuse large B-cell lymphoma (60%), and primary cutaneous B-cell lymphoma (55%). The expression of the TCL1 gene characterizes low-grade B-cell lymphomas. TCL1 is also known as TCL1A, T-cell leukemia/lymphoma 1A, T cell leukemia/lymphoma 1A and TCL1 family AKT coactivator.

Total cart qty *
  • Description
  • Specifications
  • Ordering Information

T-cell leukemia/lymphoma protein 1A (TCL1) is a member of the TCL1 family and enhances the phosphorylation and activation of AKT1, AKT2 and AKT3. TCL1 promotes the nuclear translocation of AKT1 and enhances cell proliferation, stabilizes mitochondrial membrane potential and promotes cell survival. The expression of TCL1 is restricted to lymphoid cells. It is expressed early in lymphocyte differentiation. Strong expression of TCL1 is found in a subset of mantle zone B lymphocytes and is expressed to a lesser extent by follicle center cells. In B- cell neoplasia, TCL1 immunoreactivity is found in the majority of B-cell lymphomas including lymphoblastic lymphoma, chronic lymphocytic leukemia, mantle cell lymphoma, follicular lymphoma, Burkitt lymphoma, diffuse large B-cell lymphoma (60%), and primary cutaneous B-cell lymphoma (55%). The expression of the TCL1 gene characterizes low-grade B-cell lymphomas. TCL1 is also known as TCL1A, T-cell leukemia/lymphoma 1A, T cell leukemia/lymphoma 1A and TCL1 family AKT coactivator.

  • Source
    Rabbit Monoclonal
  • Clone
    EP105
  • Class
    IVD
  • Isotype
    Rabbit, IgG
  • Tested Reactivity
    Human, FFPE
  • Localization
    Cytoplasm or Nucleus
  • Positive Control
    Tonsil, T cell lymphoma, Follicular lymphoma
  • Catalog
    Pack Size
  • MR1338-3ml
    3ml (RTU)
  • MR1338-6ml
    6ml (RTU)
  • MRC1338-0.1ml
    0.1ml (Conc.)
  • MRC1338-0.5ml
    0.5ml (Conc.)
  • MRC1338-1ml
    1ml (Conc.)
  • MRH1338-3ml
    3ml (RTU)
  • MRH1338-6ml
    6ml (RTU)

Related Products