Mammaglobin - SGAP

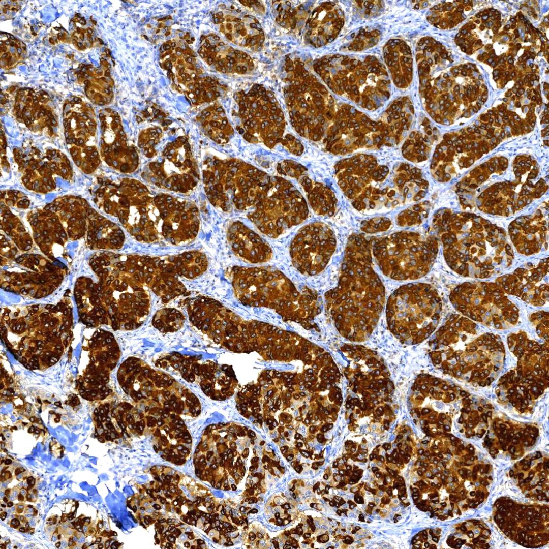
Invasive,breast carcinoma Stained with Anti -Mammoglobin

Mammaglobin - SGAP

Mammaglobin, 10 kDa, is a cytoplasmic protein, a mammary-specific member of the uteroglobin family. It is related to a family of epithelial secretory proteins that includes prostatein and Clara cell protein.  Mammaglobin occurs in about 80% of breast carcinomas. The extend is generally larger than that of GCDFP-15. Up to 15% of nonbreast carcinomas (such as stomach, lung, colon, hepatobiliary, thyroid, ovarian, and urothelial carcinomas) have been reported positive, usually only focally. Mammaglobin is a sensitive and fairly specific marker for breast carcinoma. The panel should also include Gross cystic disease fluid protein-15 and Estrogen receptor alpha.

Total cart qty *
  • Description
  • Specifications
  • Ordering Information

Mammaglobin, 10 kDa, is a cytoplasmic protein, a mammary-specific member of the uteroglobin family. It is related to a family of epithelial secretory proteins that includes prostatein and Clara cell protein.  Mammaglobin occurs in about 80% of breast carcinomas. The extend is generally larger than that of GCDFP-15. Up to 15% of nonbreast carcinomas (such as stomach, lung, colon, hepatobiliary, thyroid, ovarian, and urothelial carcinomas) have been reported positive, usually only focally. Mammaglobin is a sensitive and fairly specific marker for breast carcinoma. The panel should also include Gross cystic disease fluid protein-15 and Estrogen receptor alpha.

  • Source
    Rabbit Monoclonal
  • Clone
    SGAP
  • Class
    IVD
  • Isotype
    Rabbit, IgG
  • Tested Reactivity
    Human, FFPE
  • Localization
    Cytoplasm
  • Positive Control
    Breast carcinoma
  • Catalog
    Pack Size
  • MR1323-3ml
    3ml (RTU)
  • MR1323-6ml
    6ml (RTU)
  • MRC1323-0.1ml
    0.1ml (Conc.)
  • MRC1323-0.5ml
    0.5ml (Conc.)
  • MRC1323-1ml
    1ml (Conc.)
  • MRH1323-3ml
    3ml (RTU)
  • MRH1323-6ml
    6ml (RTU)

Related Products